ACUTE PERIODONTITIS


Umum

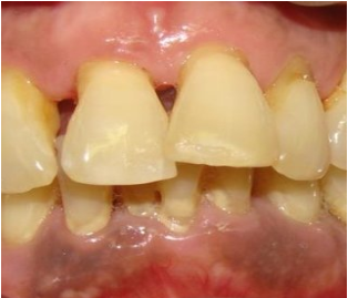
Acute Periodontitis (Periodontitis Agresif) adalah salah satu jenis penyakit peradangan pada rongga mulut, yang mengenai jaringan periodontal (jaringan pendukung gigi) yang ditandai dengan hilangnya tulang alveolar (tulang di sekitar gigi) yang terjadi secara agresif / cepat, yang jika tidak ditangani segera maka akan menyebabkan kehilangan gigi. Dari gambaran rontgen terlihat kerusakan tulang dengan pola vertikal. Biasanya penyakit ini terjadi pada usia muda dibawah 30 tahun dan jarang terjadi pada usia dewasa.

Penyebab

Periodontitis agresif disebabkan adanya penumpukan plak  di permukaan gigi di area terdekat dengan gusi. Plak merupakan media berkembang biaknya bakteri. Bakteri penyebab dari penyakit ini yaitu Porphyromonas Gingivalis, Actinomycetem Comitans dan Tannerella forsythia. Periodontitis agresif adalah penyakit yang juga dapat disebabkan oleh banyak faktor seperti reaksi hipersensitif/berlebihan dari  imun tubuh, faktor genetik, faktor lingkungan (kebersihan rongga mulut, bakteri). Merokok dan stress dapat memperburuk peradangan dan berperan penting dalam perkembangan periodontitis.

Jenis

Secara umum dibedakan menjadi 2 jenis yaitu :

  1. Local Aggressive Periodontitis (LAP) : Biasanya terjadi pada usia pubertas dan menyerang pada gigi molar pertama (gigi geraham besar pertama) serta gigi insisivus (gigi seri) yag ditandai dengan peningkatan kedalaman saku gusi dan juga kehilangan tulang alveolar yang parah.

  2. General Aggressive Periodontitis (GAP) : Biasanya terjadi pada usia dibawah 30 tahun, kehilangan perlekatan gusi pada sela sela gigi secara menyeluruh pada sedikitnya tiga gigi permanen selain gigi geraham pertama dan gigi seri.


Gejala

Penderita periodontitis agresif biasanya tidak menunjukkan gejala atau tanda-tanda dari penyakit sistemik. Untuk gejala yang biasanya ditemukan pada kasus pasien dengan periodontits agresif antara lain kegoyangan gigi pada gigi molar pertama (gigi geraham besar pertama), serta nyeri saat ada tekanan / mengunyah yang biasanya tidak berlangsung lama. Pada kasus yang parah biasanya muncul infeksi bernanah pada gusi (pembengkakan pada gusi) dan gusi berdarah.

Diagnosis

Untuk mendiagnosis periodontitis akut / periodontitis agresif, sebelumnya dokter gigi akan melakukan anamnesa (tanya jawab) kepada pasien terkait keluhan yang dirasakan dan riwayat kesehatan pasien. Selanjutnya dokter gigi akan memeriksa apakah ada perdarahan disekitar gigi akibat plak, dan juga dokter akan mengukur kedalaman dari poket (celah antara gusi dan gigi). Dari gambaran klinis biasanya gusi terlihat turun.  Selain itu bisa juga dilakukan pemeriksaan penunjang untuk menegakkan diagnosa dengan menggunakan pemeriksaan foto rontgen panoramik untuk mengetahui pola kerusakan dari tulang di sekitar gigi, untuk membedakannya dengan periodontitis kronis ataupun penyakit periodontal lainnya. Pola kerusakan tulang di sekitar gigi pada periodontitis agresif berbentuk putaran atau bisa vertikal.


Perawatan

Keberhasilan perawatan dari penyakit ini bergantung pada keberhasilan mengurangi jumlah bakteri penyebab yang terlibat. Perawatan yang bisa dilakukan dokter gigi kepada pasien dengan periodontitis agresif antara lain :

  1. Pemberian edukasi dan motivasi tentang cara menjaga kebersihan ronga mulut

  2. Terapi antibiotik secara sistemik dan lokal untuk menghilangkan bakteri penyebab 

  3. Tindakan non bedah berupa scalling root planning, yaitu membersihkan karang gigi dan plak  dari permukaan gigi atau bagian bawah gusi. Ataupun kuretase untuk menghilangkan jaringan gusi yang mati akibat nfeksi pada tepi gusi.

  4. Tindakan bedah mungkin diperlukan untuk melanjutkan perawatan non bedah untuk menghilangkan poket yang masih tersisa.


Pencegahan

Pencegahan yang bisa dilakukan yaitu dengan selalu menjaga kebersihan rongga mulut dengan rajin gosok gigi minimal sehari 2 kali (pagi setelah sarapan dan malam sebelum tidur) dengan cara menggosok yang tepat. Rutin periksa ke dokter gigi setiap 6 bulan sekali. 


Referensi

  1. Desyaningrum Hentartika., Epsilawati Lusi., Rusyanti Yanti. 2017. Karakteristik kerusakan tulang alveolar pada penderira periodontitis kronis da agresif dengan pencitraan cone beam computed tomography. Padjadjaran J Dent Res Student. Vol 1(2) : 139.144. Diakses pada : http://jurnal.unpad.ac.id/pjdrs/article/view/22116/11208

  2. Saputri Dewi., Masulili Sri L.C. 2015. Perawatan Periodontal pada pasien dengan periodontitis Agresif. Cakradonya Dent J. Vol 7(1) : 745-806. Diakses pada : http://jurnal.unsyiah.ac.id/CDJ/article/view/10437/8215

  3. Aysan Lektemur Alpan. 2018. Periodontology and Dental Implantology : Aggressive Periodontitis. Intechopen. Diakses pada : https://www.intechopen.com/chapters/61495

  4. Herawati Dahlia. 2011. Terapi Kombinasi Root Debridement dan antibiotic terhadap Periodontitis Agresif. MajKedGi. 18(2) : 200-204. Diakses pada : file:///C:/Users/ASUS/Downloads/15426-29376-1-SM-1.pdf

  5. https://www.alodokter.com/periodontitis

  6. https://www.icd10data.com/ICD10CM/Codes/K00-K95/K00-K14/K05-/K05.20


    Dibuat oleh    : drg. Mufidah Lulu’ N.

    Direview oleh : drg. Ismirianawati A